Hacemos uso de cookies. Al utilizar nuestros servicios, consideramos que acepta su uso. Más información.

Diagnóstico

  • Hemograma: leucocitos 32 820/µl (neutrófilos 30 140/µl), hemoglobina 13,9 g/dl, plaquetas 225 000/µl.
  • Coagulación: tiempo de protrombina del 46%, el resto es normal.
  • Gasometría: pH 7,31, pCO2 47 mmHg, HCO3 23,7 mmol/l, l. láctico 3,4 mmol/l.
  • Bioquímica: glucosa e iones normales, urea 86 mg/dl, creatinina 3 mg/dl, transaminasas normales, proteína C reactiva (PCR) 28,4 mg/dl, procalcitonina (PCT) 33,11 ng/ml.
  • Hemocultivo.
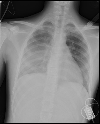
  • Radiografía de tórax.
Pantalla 7 de 15
< >

No hay comentarios
Esta actividad no admite más comentarios
Compartir