Hacemos uso de cookies. Al utilizar nuestros servicios, consideramos que acepta su uso. Más información.

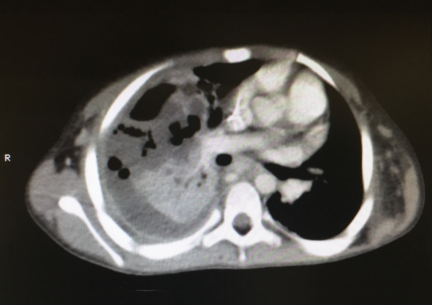
A los cinco días de ingreso se realiza una TC de tórax por el aumento de dificultad respiratoria persistente sin débito por drenaje pleural, que muestra una neumonía necrotizante en el lóbulo superior derecho, asociada a un pequeño hidroneumotórax. Se retira en las siguientes 48 horas el drenaje pleural ante débito nulo por el mismo y no observarse mayor afectación en la tomografía computarizada (TC).

¿Cuánto tiempo debemos mantener la antibioterapia?:

 
 
 
 

Para pasar a la siguiente pantalla es necesario contestar correctamente a esta pregunta.

Pantalla 11 de 14
< >

No hay comentarios
Esta actividad no admite más comentarios
Compartir