Hacemos uso de cookies. Al utilizar nuestros servicios, consideramos que acepta su uso. Más información.

Evolución del caso (2)

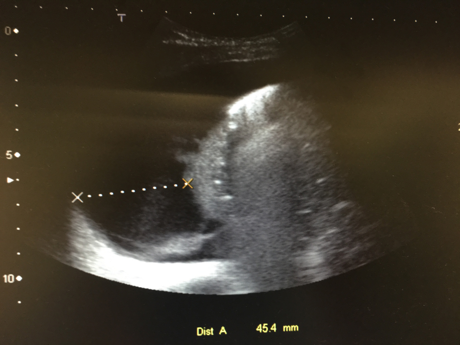
Se decide iniciar cefotaxima a 150 mg/kg/día. A las 12 horas, el paciente persiste febril, pero inicia un aumento de dificultad respiratoria con regular estado general y SatO2 al 96%, con gafas nasales a 1 litro. Se realiza radiografía de control en la que se observa empeoramiento, con aumento de la condensación y ecografía torácica con derrame pleural > 40 mm.

Pantalla 7 de 14
< >

No hay comentarios
Esta actividad no admite más comentarios
Compartir