
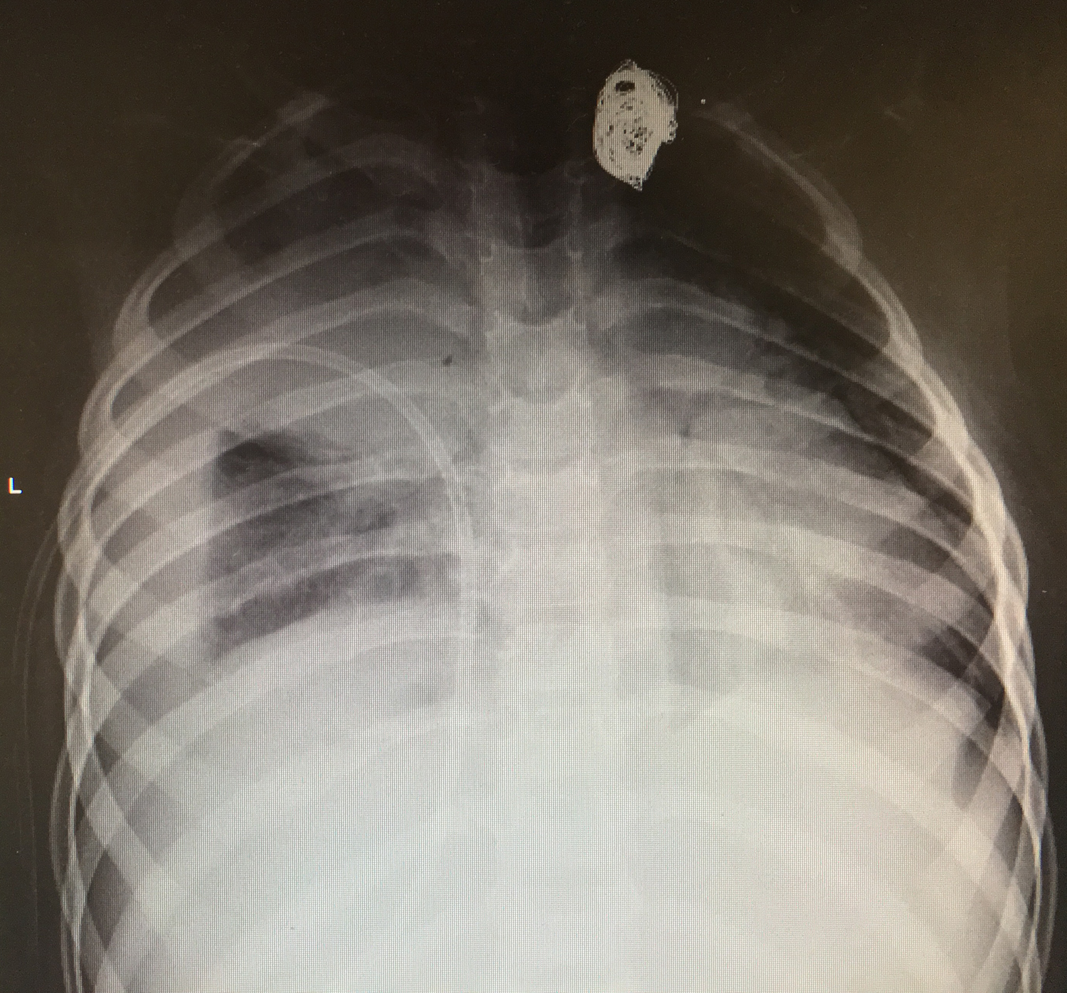
Se traslada a la Unidad de Cuidados Intensivos, se extraen hemocultivos, se inicia tratamiento con cefotaxima y clindamicina. Se coloca un drenaje pleural (pig-tail) conectado a sello de agua con salida de líquido seropurulento abundante de las siguientes características:
| Características bioquímicas de los derrames paraneumónicos | |||
|---|---|---|---|
| Derrame pleural paraneumónico | Empiema | ||
| Simple | Complicado | ||
| pH | < 7,3 | < 7,2 | < 7,0 |
| Leucocitos mµ3 | > 10 000 | > 10 000 | 15 000 |
| Glucosa | < 60 mg/dl | < 40 mg/dl | < 40 mg/dl |
| Cultivo | Negativo | Positivo | Positivo |
| LDH | < 1000 UI/l | > 1000 UI/l | > 1000 UI/l |
No hay comentarios