Hacemos uso de cookies. Al utilizar nuestros servicios, consideramos que acepta su uso. Más información.

Diagnóstico final

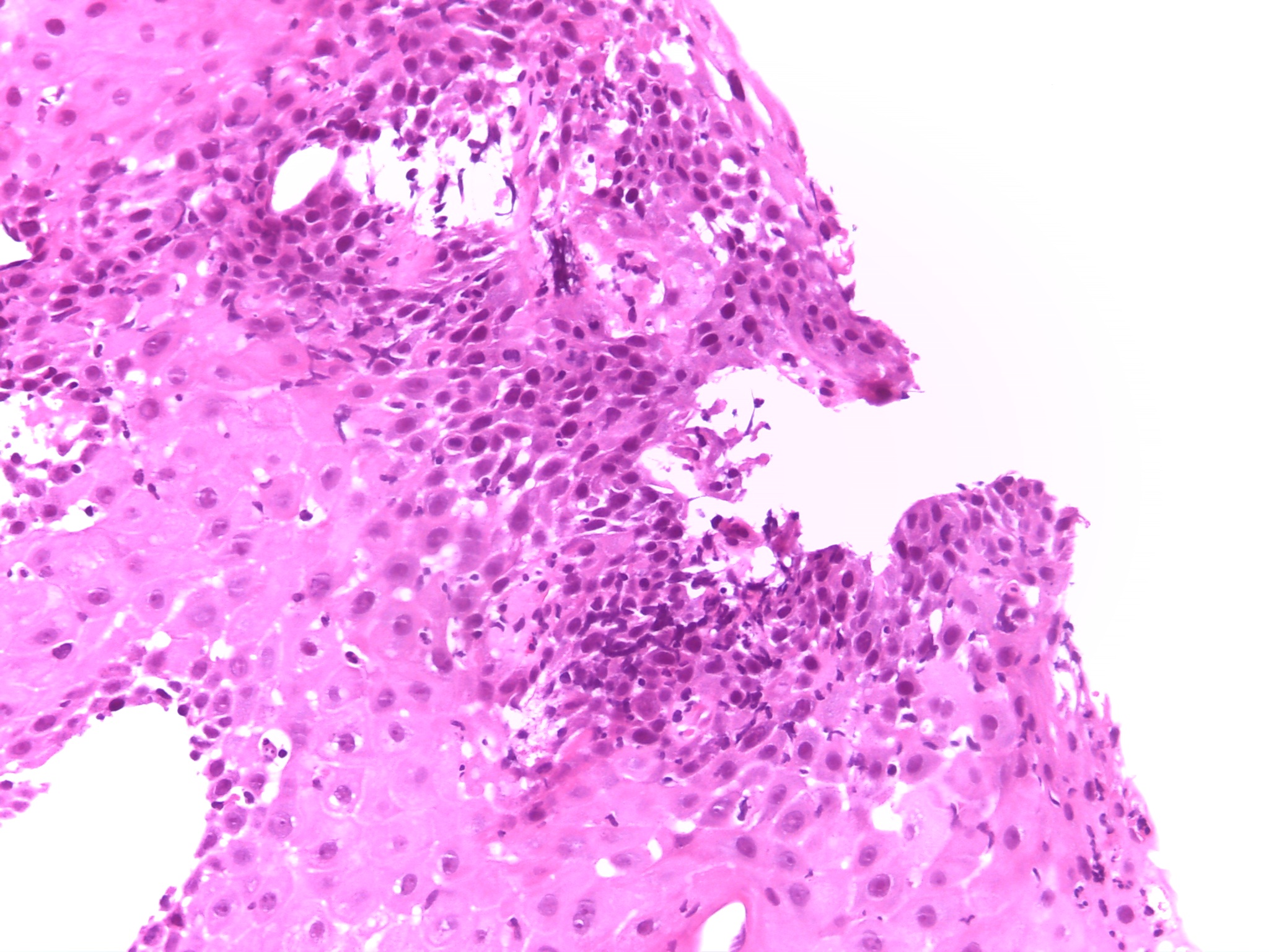
Anatomía patológica informa de que a nivel microscópico se observan focos de cambios reparativos adyacentes a la úlcera y zonas con erosión superficial que presentan un marcado infiltrado inflamatorio intraepitelial de carácter agudo compuesto por eosinófilos y neutrófilos que orienta a un cuadro de esofagitis de etiología viral o fúngica.

Pantalla 9 de 14
< >

No hay comentarios
Esta actividad no admite más comentarios
Compartir