Hacemos uso de cookies. Al utilizar nuestros servicios, consideramos que acepta su uso. Más información.

Estabilización inicial y diagnóstico

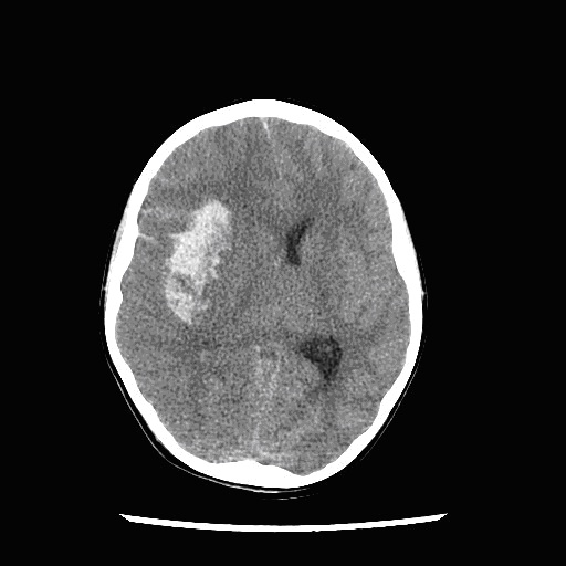
El radiólogo ya ha informado la imagen, y en el tiempo transcurrido ha solicitado una analítica sanguínea. El primer resultado que tiene es el relacionado con la coagulación.

Tiempo de tromboplastina parcial activada 53 segundos (normal entre 20 y 40 segundos)
Índice de protrombina 33% (normal >70%)
Fibrinógeno 133 mg/dl (mg/dl)
Dímeros >20 000 ng/ml (positivos)

Asume que, en relación al sangrado, presenta una coagulopatía de consumo. Sobre esta base, solicita los hemoderivados pertinentes y considera qué hacer a continuación

¿Cuál de las siguientes opciones terapéuticas le parece de elección en este momento?

 
 
 
 

Para pasar a la siguiente pantalla es necesario contestar correctamente a esta pregunta.

Pantalla 5 de 12
< >

No hay comentarios
Esta actividad no admite más comentarios
Compartir