Hacemos uso de cookies. Al utilizar nuestros servicios, consideramos que acepta su uso. Más información.

Diagnóstico y tratamiento etiológico

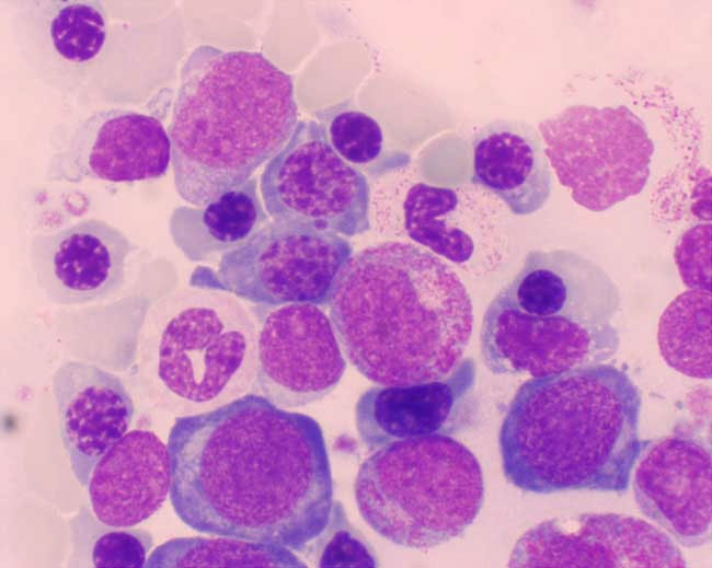
El paciente permanece estable, sedoanalgesiado e intubado. Se contacta con el Servicio de Hematología, que, revisando la morfología leucocitaria, objetiva blastos sugestivos de leucemia, probablemente mieloide.

Visto esto, usted decide consultar con Oncología Infantil. Desde este Servicio se solicitan serologías y se programa el aspirado de médula ósea.

Transcurridas unas horas, se confirma el diagnóstico de leucemia mieloide aguda-M3 y se inicia el tratamiento de este cuadro. Dado el riesgo de lisis tumoral, decide iniciar tratamiento con alopurinol.

Tras unas horas sin incidencias observa cómo, de forma paulatina, la diuresis se incrementa hasta llegar a los 7 ml/kg/hora. Ante esto, solicita valorar la función renal mediante un estudio de orina y una bioquímica sanguínea:

  • Densidad urinaria: 1005.
  • Bioquímica sanguínea (en negrita los valores alterados):

¿Qué entidad clínica sospecharía con estos datos?

 
 
 
 

Para pasar a la siguiente pantalla es necesario contestar correctamente a esta pregunta.

Pantalla 7 de 12
< >

No hay comentarios
Esta actividad no admite más comentarios
Compartir