Hacemos uso de cookies. Al utilizar nuestros servicios, consideramos que acepta su uso. Más información.

Evolución (2)

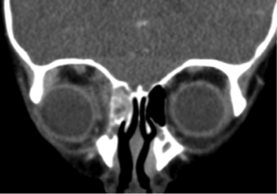
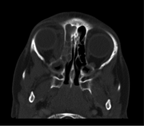
En nuestro caso, al sospechar una celulitis orbitaria, pedimos una TC y una prueba para ver la presión intracraneal (PIC) a Oftalmología.

Aquí se ven unos cortes del TC:

Pantalla 8 de 15
< >

No hay comentarios
Esta actividad no admite más comentarios
Compartir