Hacemos uso de cookies. Al utilizar nuestros servicios, consideramos que acepta su uso. Más información.

Evolución y pruebas complementarias (2)

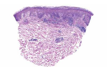
El resultado de la biopsia muestra hiperplasia epidérmica psoriasiforme y un infiltrado inflamatorio liquenoide en la dermis superficial y perivascular alrededor del plexo dérmico profundo, lo cual es compatible con pitiriasis liquenoide.

Pantalla 7 de 12
< >

No hay comentarios
Esta actividad no admite más comentarios
Compartir