Hacemos uso de cookies. Al utilizar nuestros servicios, consideramos que acepta su uso. Más información.

Pruebas complementarias (4)

Se realiza endoscopias alta y baja, con histología a todos los niveles, que sugieren brote de enfermedad inflamatoria intestinal no clasificada con afectación de ciego.

  • Gastroscopia: gastritis antral nodular.
  • Colonoscopia.
  • Anatomía patológica:
    • Biopsia de duodeno distal: mucosa duodenal sin alteraciones.
    • Biopsia de antro: gastritis crónica superficial con leve actividad focal, sin claros bacilos de tipo H. pylori.
    • Biopsia de íleon terminal: mucosa ileal sin alteraciones.
    • Biopsia de ciego: intensa colitis crónica con mínima distorsión focal y leve a moderada actividad. Se observa hiperplasia folicular linfoide reactiva. Los hallazgos podrían ser compatibles con primeros brotes de una enfermedad inflamatoria intestinal en el contexto clínico apropiado. Se recomienda correlación clínico-patológica.

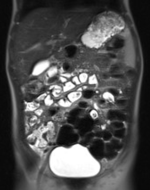
Además, se descarta afectación a lo largo del intestino delgado con la realización de enterorresonancia, que es normal.

Pantalla 15 de 20
< >

No hay comentarios
Esta actividad no admite más comentarios
Compartir