Hacemos uso de cookies. Al utilizar nuestros servicios, consideramos que acepta su uso. Más información.

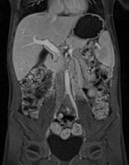
Colangiorresonancia magnética.

Pruebas complementarias (3)

Se realiza una biopsia hepática informada como ligeros cambios inflamatorios inespecíficos, con ligera actividad periportal y algún foco salpicado de actividad necroinflamatoria lobulillar. No se identifican células plasmáticas prominentes.

Posteriormente se completa estudio con una colangiorresonancia magnética que no es concluyente.

Hígado de morfología normal, contornos lisos e intensidad de señal homogénea, sin lesiones focales definidas. Vía biliar intrahepática de morfología y calibre normal. Conducto hepático común de 4 mm y colédoco de 5,5 mm. No se observan imágenes de defecto de repleción. Vesícula biliar distendida, sin evidenciar lesiones patológicas. Páncreas, bazo (12 cm), glándulas suprarrenales y riñones sin alteraciones valorables.

Pantalla 9 de 20
< >

No hay comentarios
Esta actividad no admite más comentarios
Compartir