Hacemos uso de cookies. Al utilizar nuestros servicios, consideramos que acepta su uso. Más información.

Pulse sobre la imagen para ampliarla

Evolución (2)

Ante la ausencia de aislamiento microbiológico, se suspende tratamiento antibiótico, y tras la resolución del derrame pleural y la mejoría clínica, se decide traslado de la paciente a la planta de hospitalización.

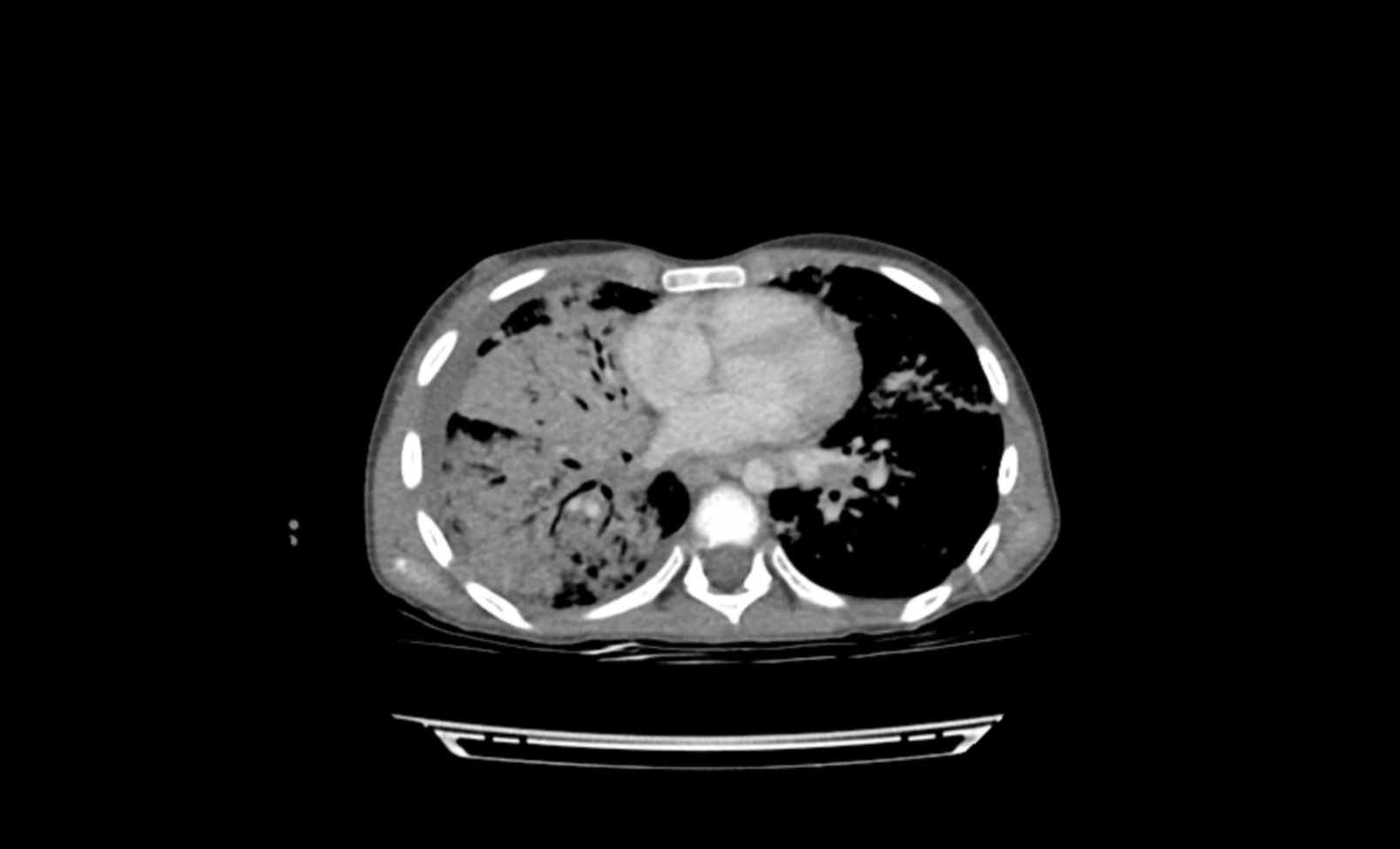
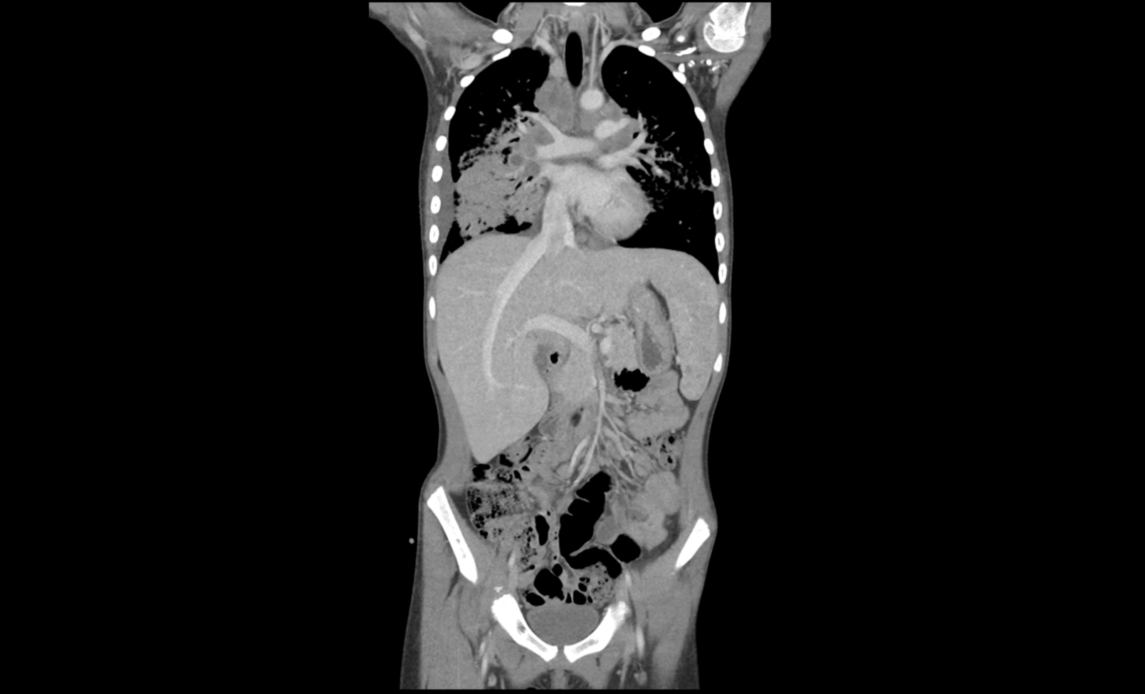
Ante la falta de etiología a filiar y la persistencia de astenia, anorexia, conglomerados adenopáticos y palpación de hepatomegalia, se decide solicitar una tomografía computarizada (TC) toraco-abdomino-pélvica.

Pantalla 7 de 15
< >

No hay comentarios
Esta actividad no admite más comentarios
Compartir