Hacemos uso de cookies. Al utilizar nuestros servicios, consideramos que acepta su uso. Más información.
Esta actividad ya está finalizada.

Pruebas complementarias (3)

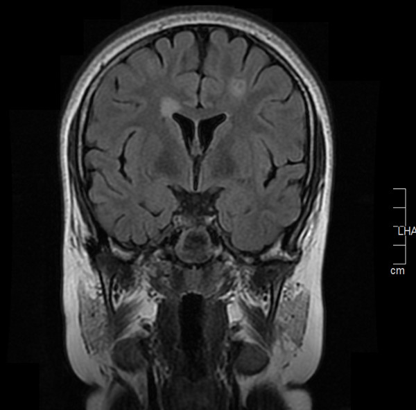
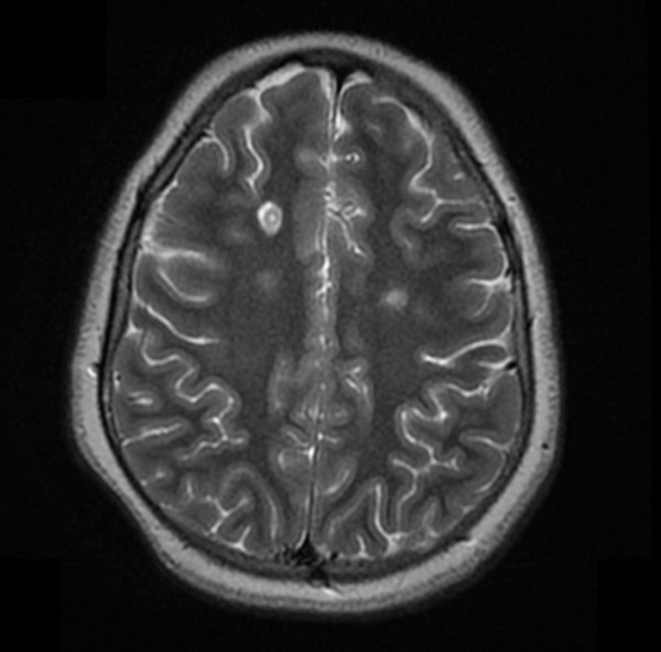
Se realiza una RM craneomedular. El estudio cerebral pone de manifiesto múltiples lesiones focales (aproximadamente 25, de entre 5 y 20 mm) predominantemente hiperintensas en secuencias T2. Afectan a la sustancia blanca yuxtasubcortical y periventricular de ambos hemisferios cerebrales, incluyendo el cuerpo calloso y el troncoencéfalo. Múltiples de las lesiones supratentoriales muestran una señal de resonancia heterogénea tanto en las secuencias T1 como T2, con un patrón interno en anillos concéntricos (patrón tipo Balo).

Se observa realce heterogéneo tras la administración de contraste en dos de las lesiones situadas en los hemisferios cerebrales, así como de la lesión que se sitúa en la hemiprotuberancia derecha afectando el trayecto intraparenquimatoso del nervio trigémino y comprometiendo también la emergencia del nervio facial derecho.

No se identifican lesiones en la médula espinal.

Pantalla 11 de 18
< >

No hay comentarios
Esta actividad no admite más comentarios