Hacemos uso de cookies. Al utilizar nuestros servicios, consideramos que acepta su uso. Más información.
Esta actividad ya está finalizada.

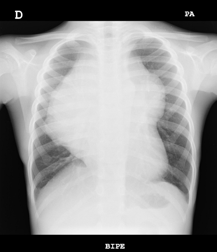
Enfoque diagnóstico

En la radiografía se observa una masa mediastínica que deja ver a su través los vasos de los hilios pulmonares, por lo que probablemente se localiza en mediastino anterior.

No presenta afectación de campos pulmonares, pleura o estructuras óseas.

Pantalla 5 de 20
< >

No hay comentarios
Esta actividad no admite más comentarios