Hacemos uso de cookies. Al utilizar nuestros servicios, consideramos que acepta su uso. Más información.
Esta actividad ya está finalizada.

Nueva actitud (1)

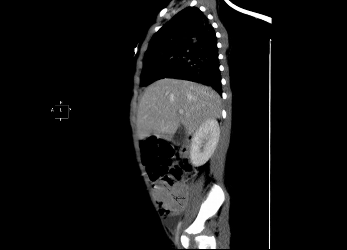
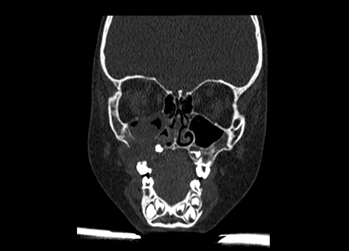
Ante la nueva sospecha diagnóstica se realiza una tomografía computarizada (TC) cráneo-cérvico-toraco-abdominal, en la que se observa una masa en la fosa iliaca derecha y una lesión ósea agresiva maxilomandibular derecha, junto con una adenopatía submandibular ipsilateral.

'>

Pulse sobre la imagen para ampliarla

Pantalla 11 de 22
< >

No hay comentarios
Esta actividad no admite más comentarios