Hacemos uso de cookies. Al utilizar nuestros servicios, consideramos que acepta su uso. Más información.
Esta actividad ya está finalizada.

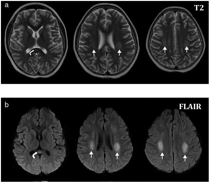
Diagnóstico

El diagnóstico de neurotoxicidad por MTX se establece mediante una clínica compatible asociada a una historia de administración de metotrexato y una neuroimagen con hallazgos sugestivos. La RM cerebral es la prueba de elección, se caracteriza por una alteración en la señal de la sustancia blanca afectada que aparece como áreas hiperintensas en las secuencias de TR largo (T2, flair) y que causa restricción en las secuencias de difusión.

Pantalla 19 de 27
< >

No hay comentarios
Esta actividad no admite más comentarios