Hacemos uso de cookies. Al utilizar nuestros servicios, consideramos que acepta su uso. Más información.
Imagen de la semana:
I­nes­ta­bi­li­dad y dis­ten­sión ab­do­mi­nal sú­bi­ta en un pre­ma­tu­ro de 32 se­ma­nas

I­nes­ta­bi­li­dad y dis­ten­sión ab­do­mi­nal sú­bi­ta en un pre­ma­tu­ro de 32 se­ma­nas

Actividad no acreditada de acceso libre

Descripción

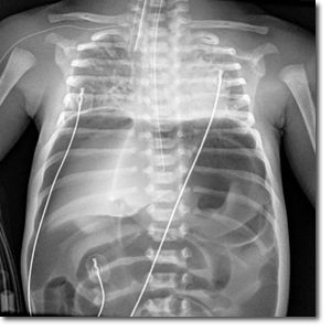
Varón de 32 semanas de gestación, segundo gemelar, de 1850 g, nacido mediante cesárea urgente por amniorrexis prolongada, muerte del primer gemelo, leucocitosis y fiebre materna. Apgar 6/8. Precisa CPAP nasal las primeras horas de vida con buena evolución.

Horas lectivas: 1
Competencias
Cómo citar
Lorenzo-Martín M, López de Priego Ávila P. I­nes­ta­bi­li­dad y dis­ten­sión ab­do­mi­nal sú­bi­ta en un pre­ma­tu­ro de 32 se­ma­nas. En Imagen de la semana. Continuum 2025. [en línea] [consultado el 29.04.2026]. Disponible en http://continuum.aeped.es
11 febrero 2025
Acceder

Valoración

 
 
 
 
 
 
 
 
 
 
Nº de votos: 2

Realice esta actividad para poder valorarla.