Hacemos uso de cookies. Al utilizar nuestros servicios, consideramos que acepta su uso. Más información.
Imagen de la semana:
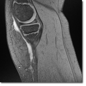
Una tu­mo­ra­ción con nom­bre pro­pio

Una tu­mo­ra­ción con nom­bre pro­pio

Actividad no acreditada de acceso libre

Descripción

Niño de 10 años que acude por dolor en la rodilla derecha desde hace mes y medio tras una caída desde la bicicleta, con persistencia del dolor y cojera intermitente. Presentó una erosión extensa con hematoma en esa rodilla.

Horas lectivas: 1
Competencias
Cómo citar
Ortiz Santamaría M, González Amor L, Díaz-Delgado Menéndez B. Una tu­mo­ra­ción con nom­bre pro­pio . En Imagen de la semana. Continuum 2025. [en línea] [consultado el 28.01.2026]. Disponible en http://continuum.aeped.es
18 febrero 2025
Acceder

Valoración

 
 
 
 
 
 
 
 
 
 
Nº de votos: 5

Realice esta actividad para poder valorarla.