Más información
Niño de 10 años que acude por dolor en la rodilla derecha desde hace mes y medio tras una caída desde la bicicleta, con persistencia del dolor y cojera intermitente. Presentó una erosión extensa con hematoma en esa rodilla. Radiografía simple de rodilla tras traumatismo: no se evidencian líneas de fractura. A la exploración, se palpa tumoración fluctuante de 13 x 11 cm en la región medial de tibia proximal derecha. Se realizan ecografía (Figura 1) y resonancia magnética (RM) (Figuras 2 y 3) por dudas diagnósticas.

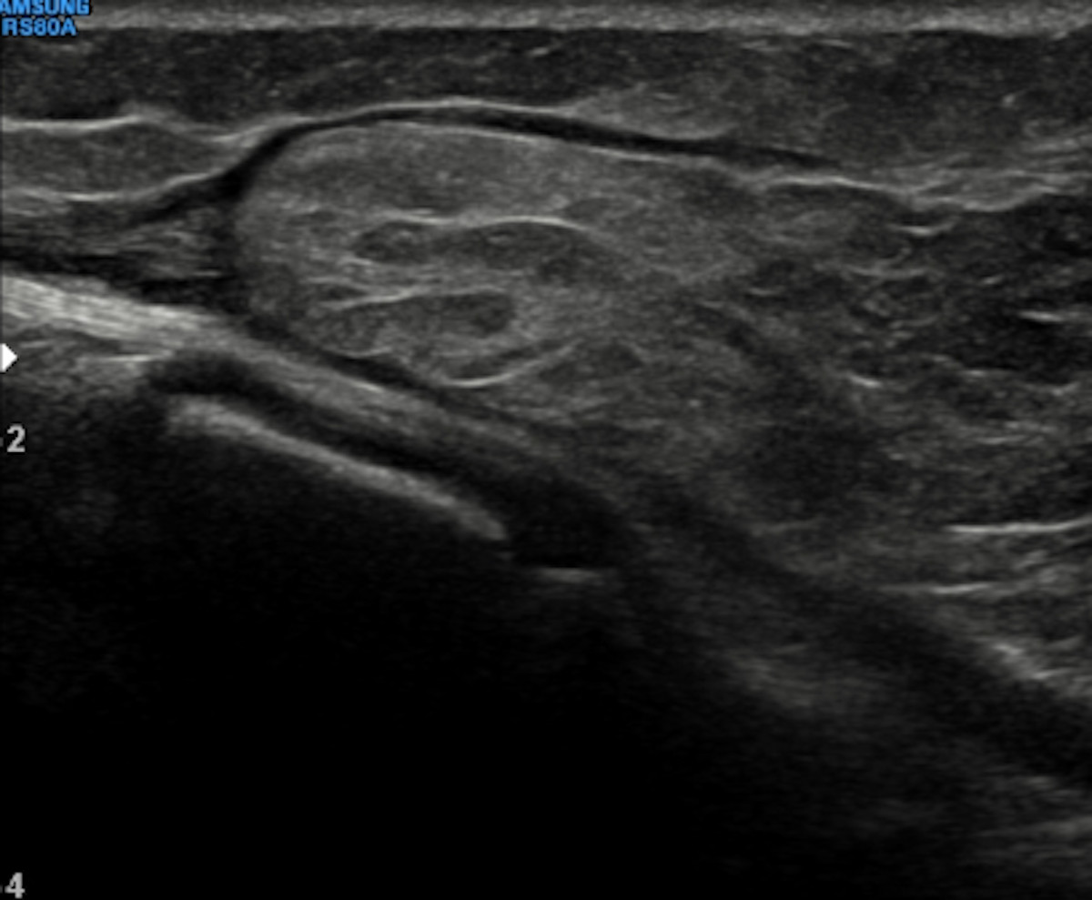
Fig. 1. Ecografía de partes blandas: lesión subcutánea de 20 x 78 mm, ecogénica de morfología fusiforme, con bordes bien definidos y halo anecoico sin señal Doppler color.

Fig. 2. RM secuencia T1: en el tejido celular subcutáneo profundo, adyacente a la fascia anteromedial de la rodilla derecha, se observa colección de 98 mm de eje longitudinal dentro de la cual se objetivan imágenes ovaladas con atenuación similar a la grasa en todas las secuencias (medidas 23 x 63 x 68 mm).

Fig. 3. RM de la lesión en plano frontal.
Realice esta actividad para poder valorarla.
No hay comentarios