Hacemos uso de cookies. Al utilizar nuestros servicios, consideramos que acepta su uso. Más información.
Imagen de la semana:
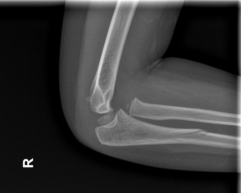
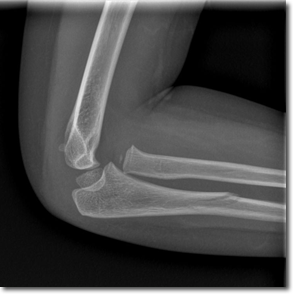
¿Qué le pasa a este codo?

¿Qué le pasa a este codo?

Actividad no acreditada de acceso libre

Descripción

Niña de 3 años que acude al Servicio de Urgencias Pediátricas por dolor en el antebrazo derecho tras una caída. La madre refiere que no ha habido mecanismo de tracción. Tras la administración de analgesia, la paciente continúa con impotencia funcional y supinación mantenida.

Horas lectivas: 1
Competencias
Cómo citar
Almoguera Díaz-Flores C, Jiménez Villalta MT, González Campillo MT. ¿Qué le pasa a este codo?. En Imagen de la semana. Continuum 2025. [en línea] [consultado el 28.01.2026]. Disponible en http://continuum.aeped.es
11 marzo 2025
Acceder

Valoración

 
 
 
 
 
 
 
 
 
 
Nº de votos: 8

Realice esta actividad para poder valorarla.