Hacemos uso de cookies. Al utilizar nuestros servicios, consideramos que acepta su uso. Más información.
Más información
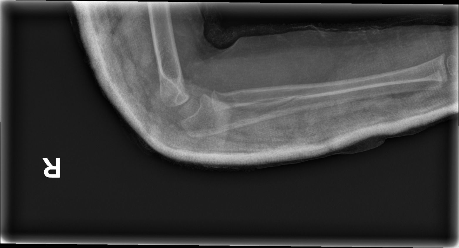
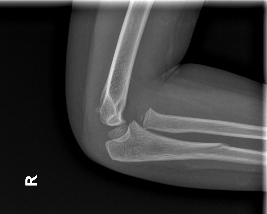
Fig. 1. Radiografía lateral del codo derecho que permite establecer el diagnóstico.

Niña de 3 años que acude al Servicio de Urgencias Pediátricas por dolor en el antebrazo derecho tras una caída. La madre refiere que no ha habido mecanismo de tracción. Tras la administración de analgesia, la paciente continúa con impotencia funcional y supinación mantenida. Se realiza radiografía de codo derecho, donde se observa la siguiente imagen (Figura 1).

¿Cuál es su diagnóstico?

 
 
 
 
Finalizar y volver al índice >

Valoración

 
 
 
 
 
 
 
 
 
 
Nº de votos: 8

Realice esta actividad para poder valorarla.


No hay comentarios
Esta actividad no admite más comentarios
Compartir