Hacemos uso de cookies. Al utilizar nuestros servicios, consideramos que acepta su uso. Más información.
Imagen de la semana:
Me duele el pie y no sé por qué

Me duele el pie y no sé por qué

Actividad no acreditada de acceso libre

Descripción

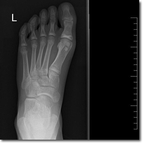
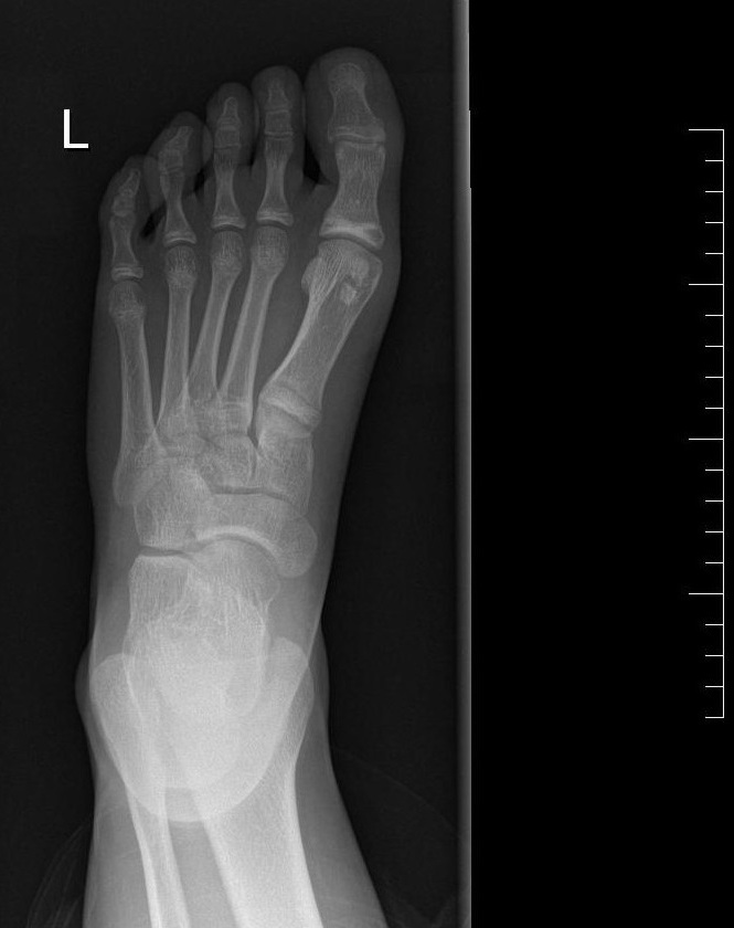
Paciente de 11 años que acude a Urgencias por dolor en el pie izquierdo de 6 meses de evolución, junto con inflamación de este en las últimas 24 horas. No guarda relación con traumatismo ni con sobreesfuerzo físico. A la exploración física, presenta dolor a la palpación en la articulación metatarsofalángica del primer dedo, con movilidad conservada. Se realiza radiografía de la extremidad (Figura 1 y Figura 2).

Horas lectivas: 1
Competencias
Cómo citar
Saloni Gómez N, Ahmed Mohamed L. Me duele el pie y no sé por qué . En Imagen de la semana. Continuum 2025. [en línea] [consultado el 28.01.2026]. Disponible en http://continuum.aeped.es
06 mayo 2025
Acceder

Valoración

 
 
 
 
 
 
 
 
 
 
Nº de votos: 5

Realice esta actividad para poder valorarla.