Más información
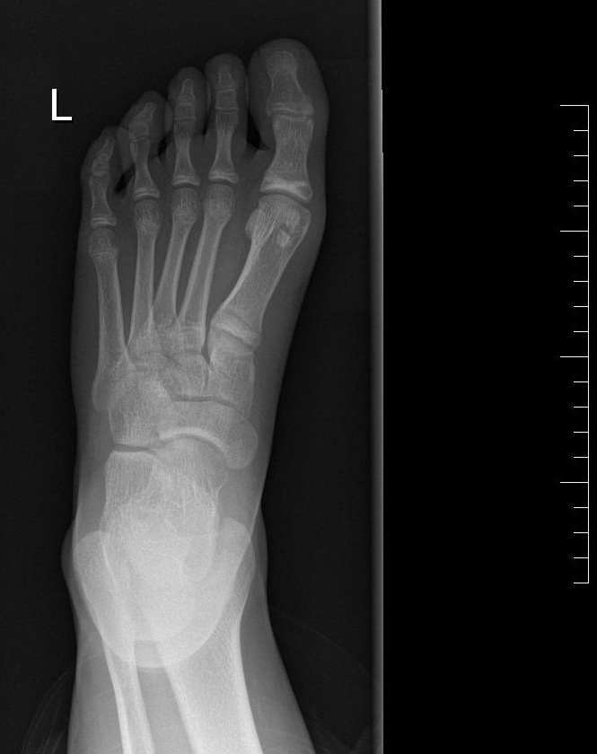
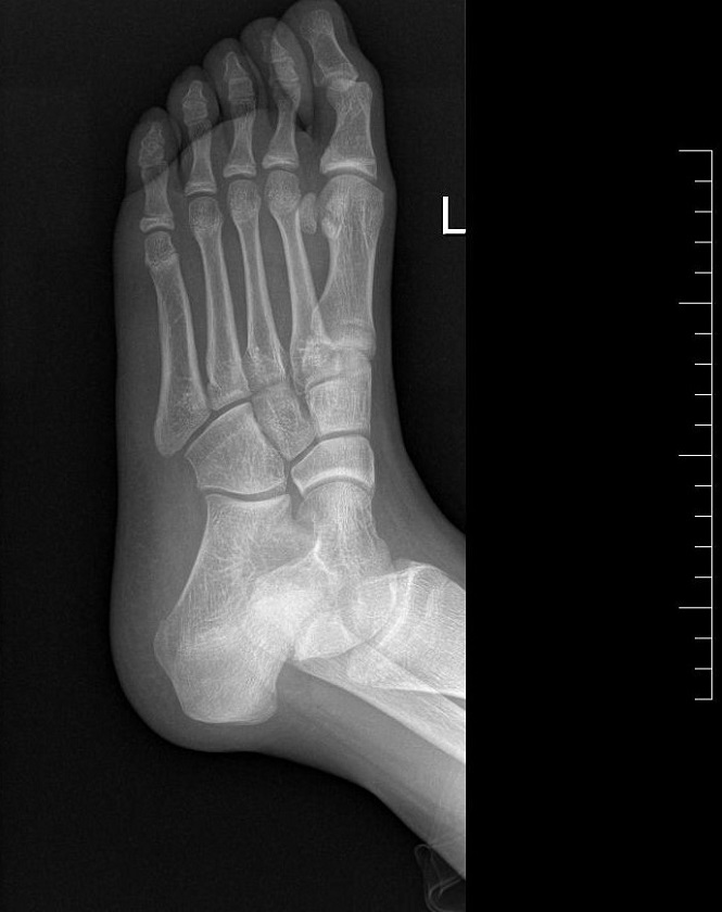
Paciente de 11 años que acude a Urgencias por dolor en el pie izquierdo de 6 meses de evolución, junto con inflamación de este en las últimas 24 horas. No guarda relación con traumatismo ni con sobreesfuerzo físico. A la exploración física, presenta dolor a la palpación en la articulación metatarsofalángica del primer dedo, con movilidad conservada. Se realiza radiografía de la extremidad (Figuras 1 y 2).

Figura 1. Radiografía ósea anteroposterior del pie izquierdo. A nivel de cabeza del primer metatarsiano, se objetivan tres formaciones de densidad cálcica de márgenes regulares, bien delimitados, no escleróticos.

Figura 2. Radiografía ósea oblicua de pie izquierdo. Se visualizan, de forma lateral, las mismas tres estructuras bien delimitadas.
Realice esta actividad para poder valorarla.
No hay comentarios