Hacemos uso de cookies. Al utilizar nuestros servicios, consideramos que acepta su uso. Más información.
Imagen de la semana:
Ha­llaz­go ca­su­al en una ra­dio­gra­fí­a de tó­rax

Ha­llaz­go ca­su­al en una ra­dio­gra­fí­a de tó­rax

Actividad no acreditada de acceso libre

Descripción

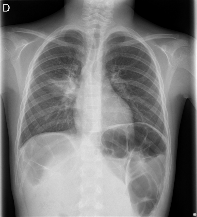
Niño de 9 años que acude a Urgencias por fiebre de hasta 38,9 °C de 72 horas de evolución asociada a tos productiva y mucosidad nasal. En la auscultación pulmonar se aprecian crepitantes en el campo superior derecho. El resto de la exploración física es normal. Se realiza radiografía de tórax posteroanterior, única proyección, que evidencia un aumento de la densidad en el campo pulmonar superior derecho, pero hay algo más.

Horas lectivas: 1
Competencias
Cómo citar
Quintanal López P, Márquez Cáceres E, García Herrero MA. Ha­llaz­go ca­su­al en una ra­dio­gra­fí­a de tó­rax. En Imagen de la semana. Continuum 2025. [en línea] [consultado el 29.04.2026]. Disponible en http://continuum.aeped.es
03 junio 2025
Acceder

Valoración

 
 
 
 
 
 
 
 
 
 
Nº de votos: 5

Realice esta actividad para poder valorarla.