Más información

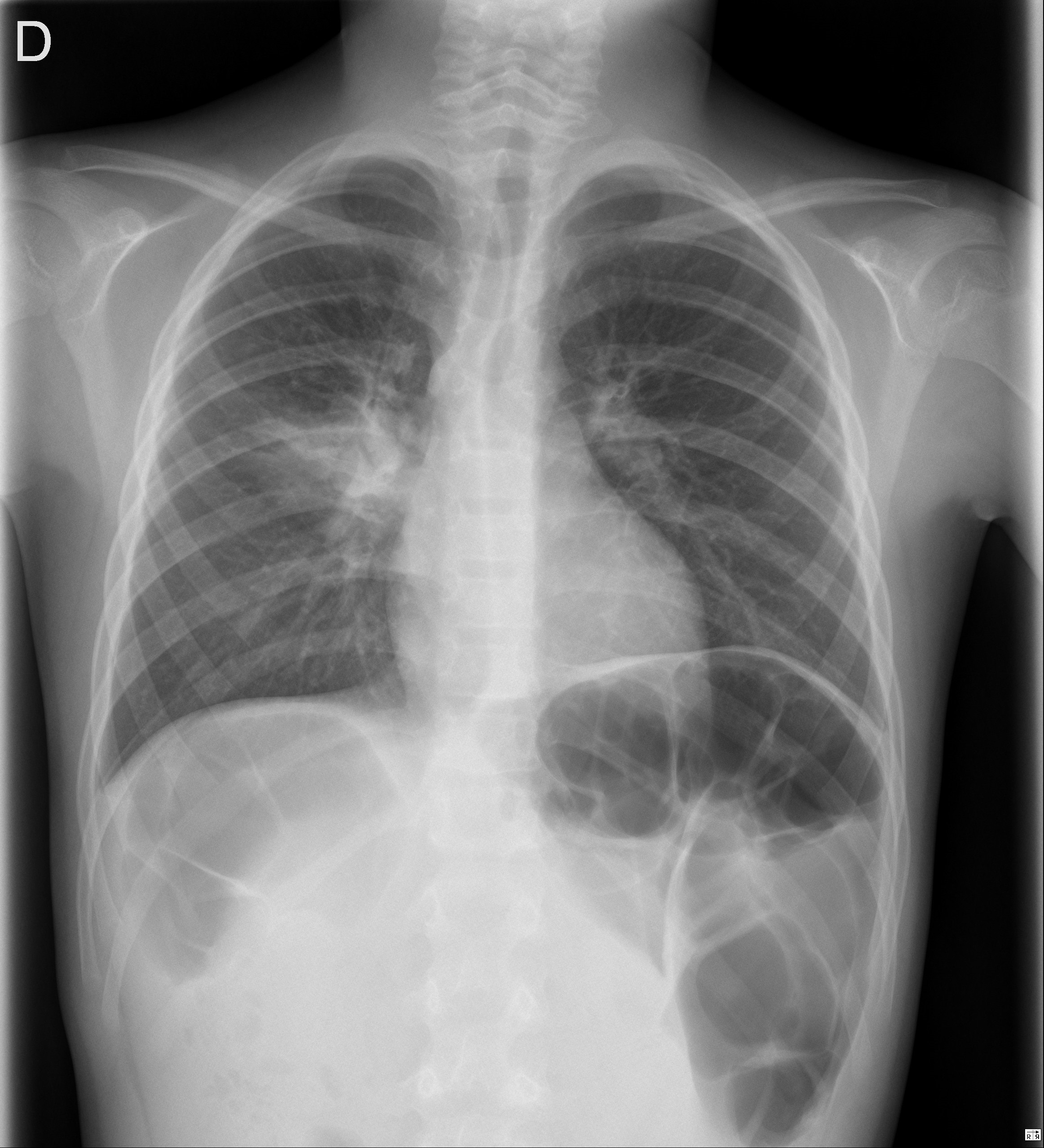
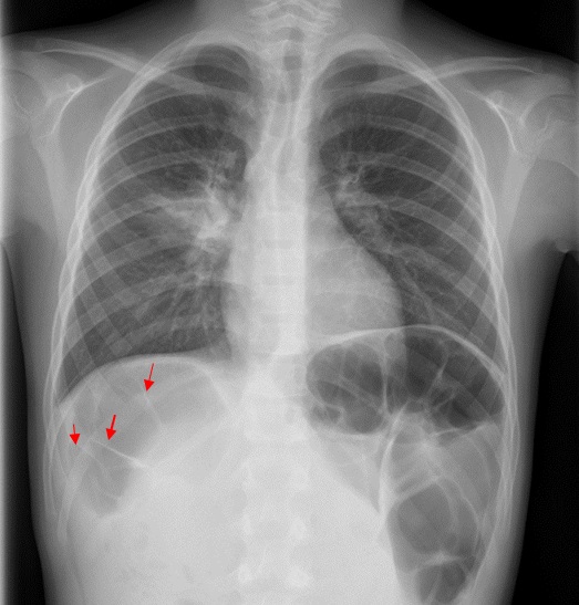
Niño de 9 años que acude a Urgencias por fiebre de hasta 38,9 °C de 72 horas de evolución asociada a tos productiva y mucosidad nasal. En la auscultación pulmonar se aprecian crepitantes en el campo superior derecho. El resto de la exploración física es normal. Se realiza radiografía de tórax posteroanterior, única proyección, que evidencia un aumento de la densidad en el campo pulmonar superior derecho, pero hay algo más (Figura 1).
Realice esta actividad para poder valorarla.
No hay comentarios