Hacemos uso de cookies. Al utilizar nuestros servicios, consideramos que acepta su uso. Más información.
Imagen de la semana:
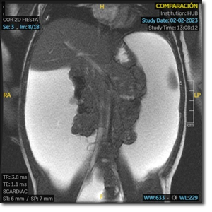
Ni­ña de 2 a­ños con dis­ten­sión ab­do­mi­nal. ¿En qué de­be­mos pen­sar?

Ni­ña de 2 a­ños con dis­ten­sión ab­do­mi­nal. ¿En qué de­be­mos pen­sar?

Actividad no acreditada de acceso libre

Descripción

Niña de 2 años con distensión abdominal de meses de evolución. No astenia. Buen apetito. No coluria, acolia, ni otra clínica. Peso: 12,3 kg. Talla: 86 cm. Abdomen distendido con cambio de matidez con la postura. Resto sin interés.

Examen analítico con hemograma, perfil hepatorrenal, metabolismo férrico, fólico, B12 y estudio de coagulación normales; marcadores de enfermedad celíaca negativos.

Horas lectivas: 1
Competencias
Cómo citar
Torres Díaz M, Franco Martín I, López Valero GN. Ni­ña de 2 a­ños con dis­ten­sión ab­do­mi­nal. ¿En qué de­be­mos pen­sar? . En Imagen de la semana. Continuum 2025. [en línea] [consultado el 29.04.2026]. Disponible en http://continuum.aeped.es
10 junio 2025
Acceder

Valoración

 
 
 
 
 
 
 
 
 
 
Nº de votos: 6

Realice esta actividad para poder valorarla.