Hacemos uso de cookies. Al utilizar nuestros servicios, consideramos que acepta su uso. Más información.
Imagen de la semana:
¿Qué es e­sa tu­mo­ra­ción de la piel? ¡Veámos­lo por e­co­gra­fía!

¿Qué es e­sa tu­mo­ra­ción de la piel? ¡Veámos­lo por e­co­gra­fía!

Actividad no acreditada de acceso libre

Descripción

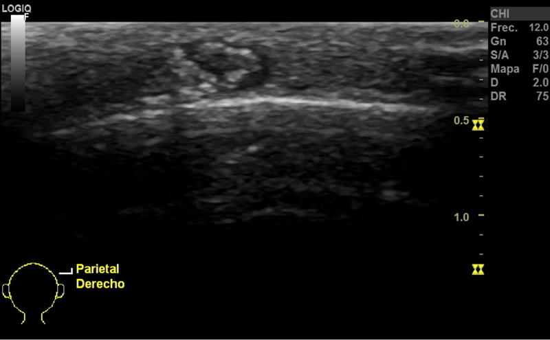
Niña de 8 años, sin antecedentes de interés, que consulta en Atención Primaria por un nódulo en el cuero cabelludo que han detectado recientemente. No asocia dolor ni fiebre ni clínica constitucional. A la exploración presenta un nódulo de consistencia dura de 1 x 1 cm de tamaño en la zona parietal derecha, sin cambios de coloración en su superficie ni signos de sobreinfección.

Horas lectivas: 1
Competencias
Cómo citar
Arenaza Oreja M, Escolano Burgos A, Álvarez García J. ¿Qué es e­sa tu­mo­ra­ción de la piel? ¡Veámos­lo por e­co­gra­fía!. En Imagen de la semana. Continuum 2025. [en línea] [consultado el 28.01.2026]. Disponible en http://continuum.aeped.es
04 noviembre 2025
Acceder

Valoración

 
 
 
 
 
 
 
 
 
 
Nº de votos: 4

Realice esta actividad para poder valorarla.