Más información

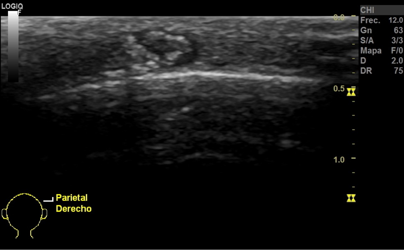
Niña de 8 años, sin antecedentes de interés, que consulta en Atención Primaria por un nódulo en el cuero cabelludo que han detectado recientemente. No asocia dolor ni fiebre ni clínica constitucional. A la exploración presenta un nódulo de consistencia dura de 1 x 1 cm de tamaño en la zona parietal derecha, sin cambios de coloración en su superficie ni signos de sobreinfección. Se realiza ecografía de la lesión objetivándose los hallazgos mostrados en la Figura 1.
Realice esta actividad para poder valorarla.
No hay comentarios
Normas de uso del foro