Hacemos uso de cookies. Al utilizar nuestros servicios, consideramos que acepta su uso. Más información.
Imagen de la semana:
Un re­cién na­ci­do con mu­chas se­cre­cio­nes

Un re­cién na­ci­do con mu­chas se­cre­cio­nes

Actividad no acreditada de acceso libre

Descripción

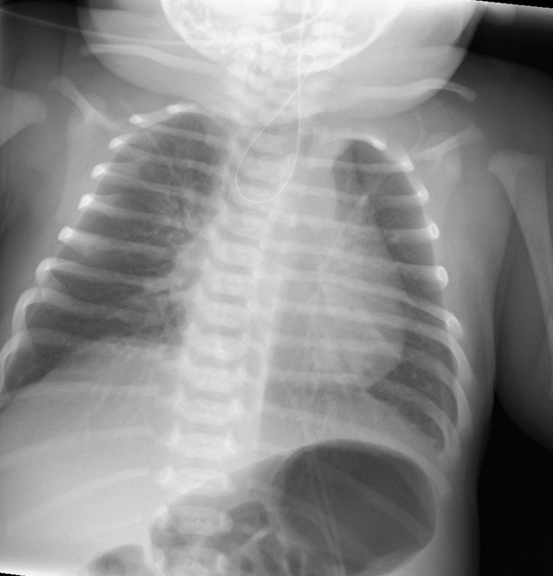
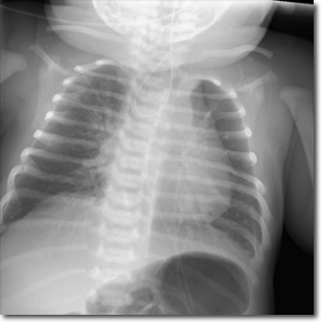
Recién nacido a término con embarazo normoevolutivo, sin hallazgos significativos en las ecografías prenatales y parto sin complicaciones. Avisan a las 7 horas de vida por abundantes secreciones orofaríngeas y dificultad respiratoria. A la exploración se objetiva abundante sialorrea, auscultándose ruidos de secreciones de vías altas.

Horas lectivas: 1
Competencias
Cómo citar
Sahori Merino L, Jiménez Villalta MT, Arranz Boned M. Un re­cién na­ci­do con mu­chas se­cre­cio­nes . En Imagen de la semana. Continuum 2026. [en línea] [consultado el 30.04.2026]. Disponible en http://continuum.aeped.es
13 enero 2026
Acceder

Valoración

 
 
 
 
 
 
 
 
 
 
Nº de votos: 3

Realice esta actividad para poder valorarla.