Más información

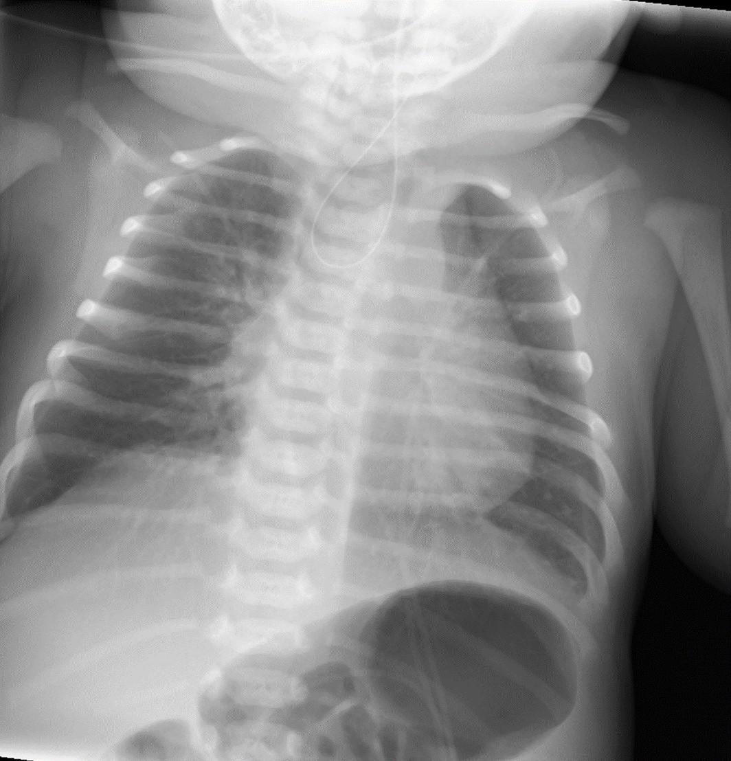
Recién nacido a término con embarazo normoevolutivo, sin hallazgos significativos en las ecografías prenatales y parto sin complicaciones. Avisan a las 7 horas de vida por abundantes secreciones orofaríngeas y dificultad respiratoria. A la exploración se objetiva abundante sialorrea, auscultándose ruidos de secreciones de vías altas. Se aspiran las secreciones, se inicia oxigenoterapia de alto flujo y se coloca sonda orogástrica con imposibilidad de avance. Se solicita una radiografía de tórax (Figura 1).
Realice esta actividad para poder valorarla.
No hay comentarios
Normas de uso del foro