Hacemos uso de cookies. Al utilizar nuestros servicios, consideramos que acepta su uso. Más información.
Imagen de la semana:
¿Por qué me due­le el pe­cho, doc­to­ra?

¿Por qué me due­le el pe­cho, doc­to­ra?

Actividad no acreditada de acceso libre

Descripción

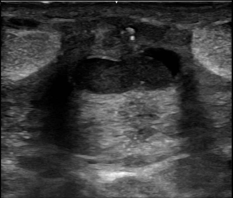
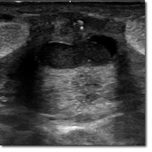
Adolescente de 13 años que acude a Urgencias por dolor en la mama derecha de una semana de evolución. Afebril. Niega telorrea, traumatismo previo o menstruación actual. No presenta antecedentes personales de interés, pero sí antecedentes familiares de cáncer de mama en madre y abuela materna.

Horas lectivas: 1
Competencias
Cómo citar
Erroz Ferrer M, Ansó Mota M, Hidalgo Gómez de Travecedo JM. ¿Por qué me due­le el pe­cho, doc­to­ra?. En Imagen de la semana. Continuum 2026. [en línea] [consultado el 22.04.2026]. Disponible en http://continuum.aeped.es
03 marzo 2026
Acceder

Valoración

 
 
 
 
 
 
 
 
 
 
Nº de votos: 2

Realice esta actividad para poder valorarla.