Más información
Adolescente de 13 años que acude a Urgencias por dolor en la mama derecha de una semana de evolución. Afebril. Niega telorrea, traumatismo previo o menstruación actual. No presenta antecedentes personales de interés, pero sí antecedentes familiares de cáncer de mama en madre y abuela materna.
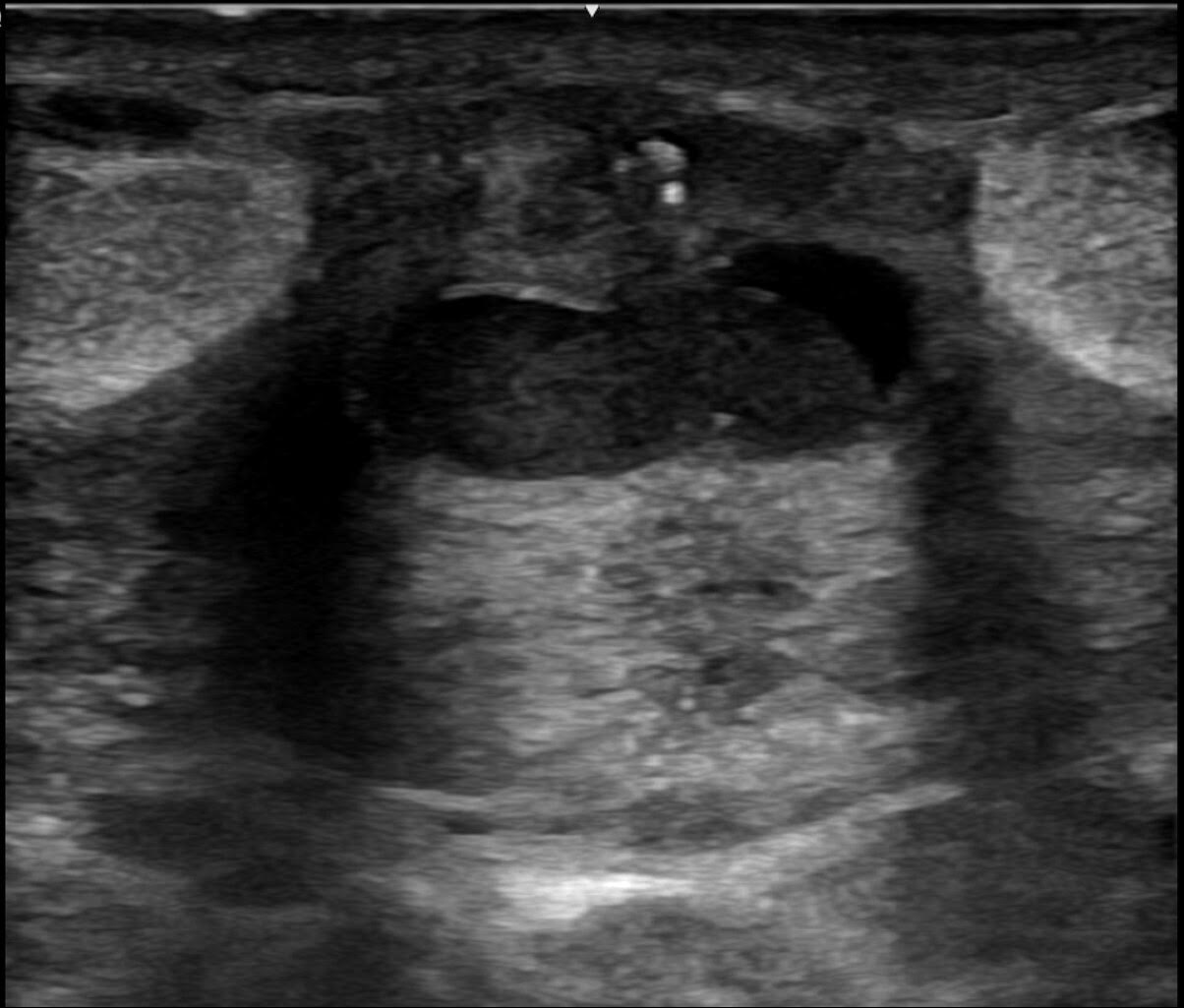
A la exploración física, presenta una induración periareolar muy dolorosa a la palpación, sin que se aprecie tumoración, eritema o calor en la mama derecha. Se solicita una ecografía mamaria (Figura 1 y Figura 2).

Figura 1. Ecografía de la mama realizada con transductor lineal de 9 Mhz. En región la periareolar de la mama derecha se observa una lesión quística bilobulada de 12 x 5 mm, con contenido ecogénico y refuerzo acústico posterior.

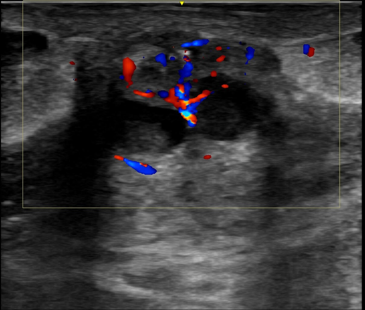
Figura 2. En el estudio Doppler se identifica un aumento de la vascularización de los tejidos circundantes.
Realice esta actividad para poder valorarla.
No hay comentarios
Normas de uso del foro