Hacemos uso de cookies. Al utilizar nuestros servicios, consideramos que acepta su uso. Más información.
Imagen de la semana:
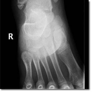
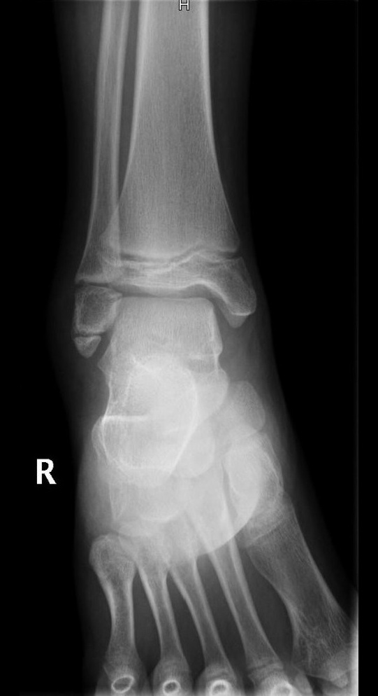
Ha­llaz­go ra­dio­grá­fico tras mo­vi­mien­to a­nó­ma­lo del pie

Ha­llaz­go ra­dio­grá­fico tras mo­vi­mien­to a­nó­ma­lo del pie

Actividad no acreditada de acceso libre

Descripción

Niña de 11 años de edad sin antecedentes de interés que acude a Urgencias por dolor a nivel del maléolo externo del miembro inferior derecho tras un movimiento anómalo del pie con inversión del tobillo hace 2 días. Asocia tumefacción e impotencia funcional leves. Le han administrado analgesia en el domicilio sin mejoría. A la exploración, presenta tumefacción y dolor selectivo a la palpación del maléolo externo y los ligamentos peroneoastragalinos anterior y posterior.

Horas lectivas: 1
Competencias
Cómo citar
Cantero Pacheco M, Pastor Martínez R, González González C. Ha­llaz­go ra­dio­grá­fico tras mo­vi­mien­to a­nó­ma­lo del pie. En Imagen de la semana. Continuum 2026. [en línea] [consultado el 24.03.2026]. Disponible en http://continuum.aeped.es
24 marzo 2026
Acceder

Valoración

 
 
 
 
 
 
 
 
 
 
Nº de votos: 0

Realice esta actividad para poder valorarla.