Más información
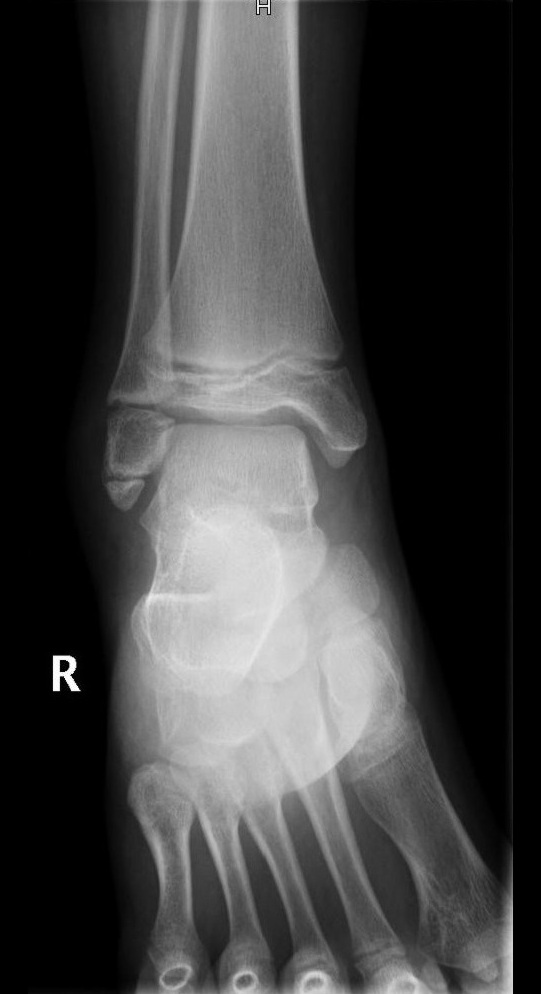
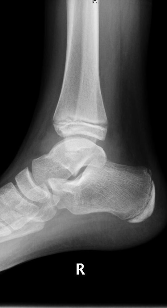
Niña de 11 años de edad sin antecedentes de interés que acude a Urgencias por dolor a nivel del maléolo externo del miembro inferior derecho tras un movimiento anómalo del pie con inversión del tobillo hace 2 días. Asocia tumefacción e impotencia funcional leves. Le han administrado analgesia en el domicilio sin mejoría. A la exploración, presenta tumefacción y dolor selectivo a la palpación del maléolo externo y los ligamentos peroneoastragalinos anterior y posterior. No crepitación ni resaltes óseos ni hematoma. No presenta limitación de la movilidad pasiva y si presenta limitación a la movilización activa por dolor. Se realiza radiografía anteroposterior (Figura 1) y lateral (Figura 2) del tobillo derecho.

Figura 1. Proyección anteroposterior.

Figura 2. Proyección lateral.
Realice esta actividad para poder valorarla.
No hay comentarios
Normas de uso del foro