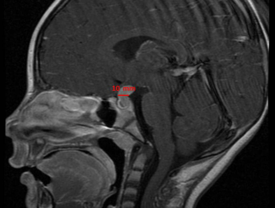
Una vez hecho el diagnóstico de diabetes insípida central, se realiza una resonancia magnética en la que se objetiva un engrosamiento del tallo hipofisario de 10 mm.
No utilice esta herramienta para enviar consultas sobre el funcionamiento general de la plataforma. Para ello utilice el buzón de contacto que aparece en el menú superior o pulse aquí.
Compartir
Estamos corrigiendo su ejercicio, por favor espere.