Hacemos uso de cookies. Al utilizar nuestros servicios, consideramos que acepta su uso. Más información.

Diagnóstico diferencial de la tos crónica

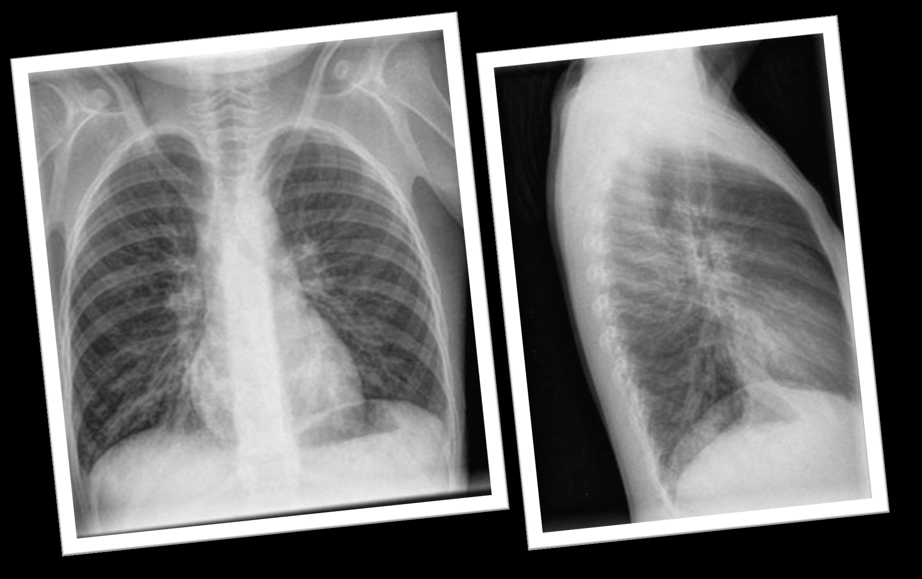
Considerando la historia y la clínica de la paciente, se realizaron las siguientes pruebas:

  • Ionotest
  • Espirometría
  • pH-metría
  • Radiografía de tórax

Dados los resultados de las primeras pruebas complementarias y puesto que la paciente persiste con la misma clínica, ¿qué prueba complementaria realizaría a continuación?

 
 
 
 

Para pasar a la siguiente pantalla es necesario contestar correctamente a esta pregunta.

Pantalla 6 de 17
< >

No hay comentarios
Esta actividad no admite más comentarios
Compartir