Hacemos uso de cookies. Al utilizar nuestros servicios, consideramos que acepta su uso. Más información.

Diagnóstico final

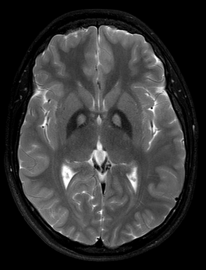
Ante el diagnóstico del cuadro se realiza Resonancia Magnética cerebral a su hermano gemelo, con sintomatología más leve (alteración conductual aislada, mayores capacidades cognitivas, ausencia de clínica extrapiramidal), obteniendo la misma imagen característica de ojos de tigre. Se realiza estudio genético dirigido a mutaciones en gen PKAN2, confirmándose la misma mutación.

Pantalla 12 de 15
< >

No hay comentarios
Esta actividad no admite más comentarios
Compartir