Hacemos uso de cookies. Al utilizar nuestros servicios, consideramos que acepta su uso. Más información.

Pruebas complementarias/diagnóstico diferencial

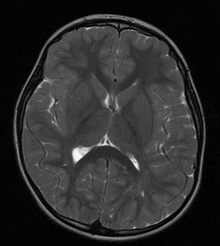
Se realiza un amplio estudio etiológico en los primeros años de vida incluyendo:

  • Prueba de neuroimagen: RM cerebral.
  • Estudio neurofisiológico: vEEG, EMG/ENG.
  • Estudio genético: cariotipo, arrays de CGH.
  • Estudio bioquímico/metabólico completo en sangre y orina incluyendo ácidos orgánicos urinarios, aminoácidos plasmáticos, lactato en sangre, amonio, gasometría capilar, creatina quinasa (CK), hormonas tiroideas, ceruloplasmina, pruebas de función hepática y renal, etc.
  • Reacción en cadena de la polimerasa (PCR) para citomegalovirus (CMV) en sangre de talón.

En todas las pruebas los resultados fueron normales o inespecíficos.

Pantalla 6 de 15
< >

No hay comentarios
Esta actividad no admite más comentarios
Compartir