Hacemos uso de cookies. Al utilizar nuestros servicios, consideramos que acepta su uso. Más información.

Pruebas complementarias. Estudio etiológico

  • Hemograma, bioquímica con glucemia, función renal, transaminasas, proteínas, lactatodeshidrogenasa (LDH): normales.
  • Cultivo LCR: negativo.
    • Enterovirus-herpesvirus neurotropos (PCR LCR): enterovirus, VHS, virus varicela-zóster (VVZ) negativos.
    • Virus herpes linfotropos (PCR LCR): citomegalovirus (CMV), virus de Epstein-Barr (VEB), virus del herpes humano tipos 6, 7 y 8 (VHH-6, VHH-7, VHH-8) negativos.
    • Bacterias (PCR LCR): Borrelia burdogferi, Coxiella burnetti, Rickettsia sp. negativas.
  • Estudio de autoinmunidad:
    • Anticuerpos antitiroideos: anticuerpos antimicrosomales 203 U/ml (alto), función tiroidea normal, ecografía de tiroides normal.
    • Muestra de LCR enviada a Barcelona para detección de anticuerpos anti receptor de N-metil-D-aspartato (anti-NMDAR): positivo.
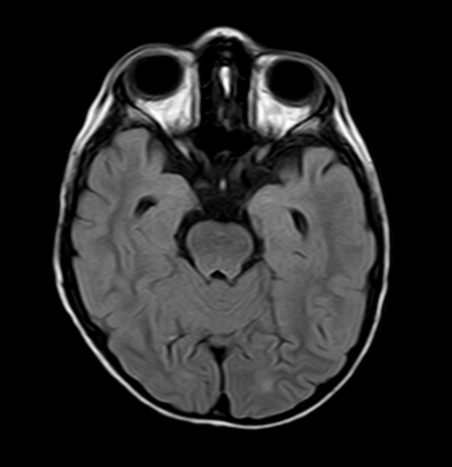
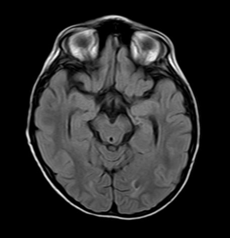
  • RM craneal y medular: discreto aumento de señal en secuencia FLAIR y T2 en ambos hipocampos, algo más evidente en el izquierdo.
  • Video-EEG: se concluye como lentificación hemisférica izquierda de predominio posterior. Discreta sobrecarga lenta y de ritmos rápidos difusa, probable en relación con la sedación. No se ha registrado clara actividad epileptiforme intercrítica, ni crítica.

Se continua con estudio etiológico. Segunda fase estudio de autoinmunidad en suero y LCR.

Pantalla 10 de 17
< >

No hay comentarios
Esta actividad no admite más comentarios
Compartir