Hacemos uso de cookies. Al utilizar nuestros servicios, consideramos que acepta su uso. Más información.
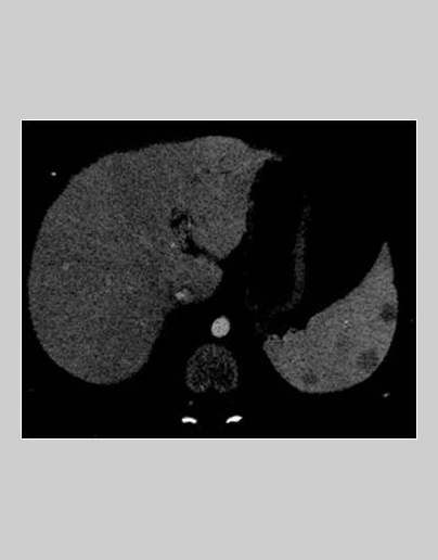
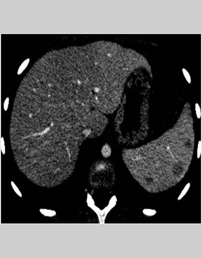
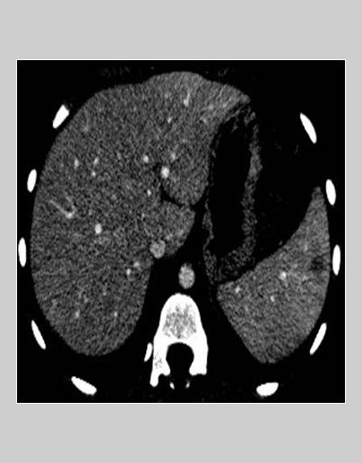
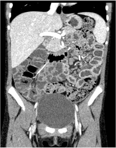
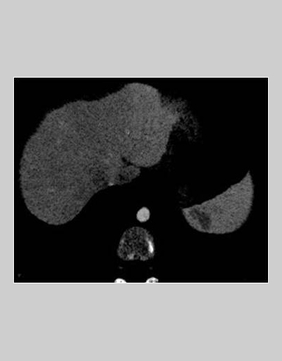
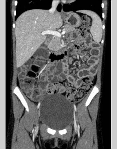
Se aprecian cuatro lesiones hipodensas en el bazo. En los cortes coronales se aprecia hipercaptación mucosa en las asas del yeyuno, adenopatías de tamaño patológico, aumento de la vascularización del meso y líquido libre en la fosa iliaca derecha.

Evolución (2)

Nos encontramos ante una paciente que presenta atrofia vellositaria duodenal y no mejora con dieta sin gluten. En la analítica persisten reactantes inflamatorios elevados. La ecografía es sugerente de EII, pero no cumple criterios gammagráficos de EII.

Ante la discrepancia de los resultados y la persistencia de reactantes inflamatorios elevados, se solicita la realización de una tomografía axial computarizada (TAC) abdominal como paso previo a la realización de otras pruebas.

Resultados del entero-TAC:

  • Hígado homogéneo sin lesiones focales. No hay dilatación de vía biliar. Riñones de tamaño, morfología y densidad normales, sin dilatación de vía urinaria. Páncreas, suprarrenales y vejiga normales.
  • Hipercaptación mucosa en las asas del yeyuno, con adenopatías regionales de tamaño patológico y aumento de vascularización en el meso.
  • Se observan al menos cuatro lesiones focales esplénicas, hipodensas y mal definidas, con bazo de tamaño normal.
  • Discreta cantidad de líquido libre en fosa iliaca derecha.

Estos hallazgos en conjunto sugieren un proceso inflamatorio de tipo infeccioso, ya que no existe un engrosamiento de las paredes de las asas del yeyuno que sugieran una etiología neoplásica (linfoma o tumor carcinoide), aunque esto no puede descartarse con seguridad.

Pantalla 9 de 19
< >

No hay comentarios
Esta actividad no admite más comentarios
Compartir