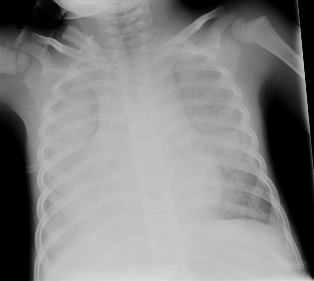
Respuesta correcta. En una radiografía simple resulta prácticamente imposible distinguir la sangre del líquido libre producto de un edema alveolar. En ambas situaciones resulta típica la imagen en “alas de mariposa”, debiendo utilizar la clínica asociada para orientar el diagnóstico.
La presencia de signos o síntomas de fallo cardiaco o shock de origen cardiogénico (hepatomegalia, hipotensión, edemas en miembros inferiores, soplos o latido hiperdinámico) orienta hacia un edema agudo de pulmón.
La tos con esputo sanguinolento, la hemoptisis o una anemización brusca en relación al aumento dificultad respiratoria podrían estar relacionados con un sangrado agudo.
¿Qué actitud se tomó con el paciente?
Desde el punto de vista hemodinámico se logró estabilizar al paciente con una nueva transfusión. Al tiempo se descartó sangrado pulmonar (no presentó más descenso de Hb) lo que permitió, al iniciar ventilación no invasiva con alto flujo (flujo máximo 15 lpm con una fracción inspiratoria de oxígeno en el aire inspirado [FiO2] inicial de 1), lograr una rápida mejoría.
Posteriormente se trasladó a la Unidad de Cuidados Intensivos pediátricos, donde con el paciente ya estable se realiza balance negativo por la sospecha de edema pulmonar derivado de una probable sobrecarga de líquidos con la expansión y las transfusiones de sangre.
El día después, con mejoría tanto clínica como radiológica, se realiza un ecocardiograma donde se confirma el FOP y se descarta afectación miocárdica.
De forma progresiva se completó el diagnóstico diferencial de la anemia.
- Metabolismo del hierro normal, a excepción de una transferrina ligeramente disminuida de 187 mg/dl.
- Coombs directo negativo.
- Déficit parcial de glucosa 6-P-deshidrogenasa que muestra un valor de 30 U/1012 RBC [valores normales 146-376 U/1012 RBC].
- Estudio de hemoglobinopatías con una Hb S 20%.
- Hemorragia oculta en heces negativa.
El paciente recibe el alta con los diagnósticos de déficit de G6PD (se descarta cualquier precipitante para hemólisis por este déficit) y estado de portador de drepanocitosis, sin que estos hallazgos justificasen claramente los episodios de anemia.