Hacemos uso de cookies. Al utilizar nuestros servicios, consideramos que acepta su uso. Más información.

Diagnóstico (2)

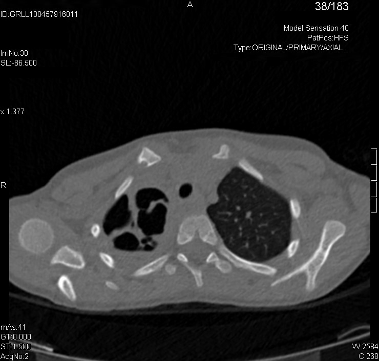
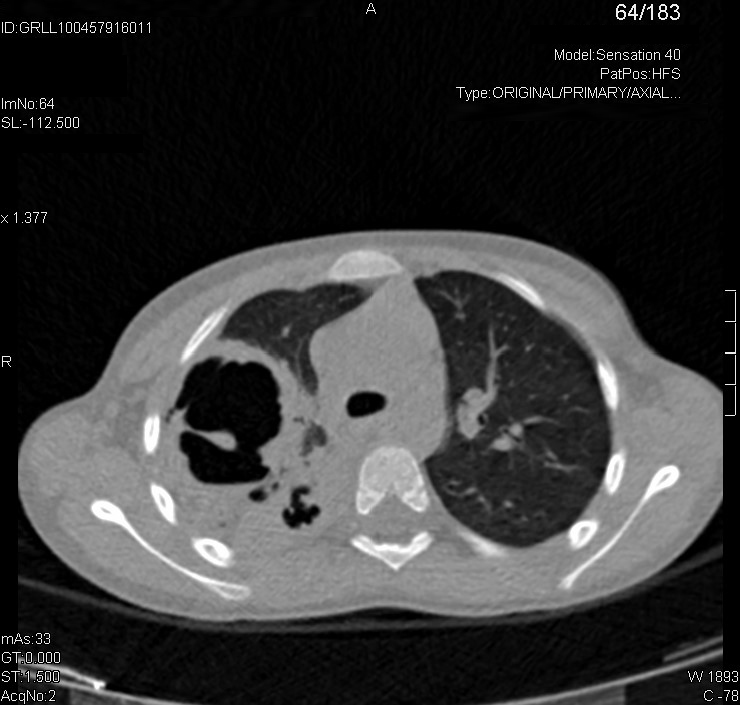
Para determinar si las imágenes de la radiografía son únicas o múltiples y definir con mayor precisión las características de las lesiones, pedimos una tomografía computarizada (TC).

La TC se informa de la siguiente manera: “En el hemitórax derecho se aprecian tres cavidades, una localizada en el lóbulo superior derecho y dos en los segmentos superiores del lóbulo inferior derecho, de paredes gruesas que no parecen estar colonizadas, sugestivas de neumonías necrotizantes. En el parénquima pulmonar izquierdo no se aprecian alteraciones significativas”.

En este momento es el duodécimo día de ingreso, el quinto día en tratamiento con cefotaxima y clindamicina, y nuestra paciente está afebril y con muy buen estado general.

Pantalla 10 de 17
< >

No hay comentarios
Esta actividad no admite más comentarios
Compartir