Hacemos uso de cookies. Al utilizar nuestros servicios, consideramos que acepta su uso. Más información.

Patología tumoral

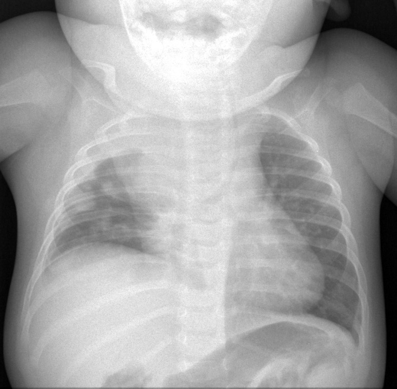
Tumor rabdoide mediastínico con metástasis pulmonares y derrame pleural.

Cuando se sospeche una tumoración torácica, se deberá completar el estudio por imagen mediante ecografía, tomografía computarizada o resonancia magnética

Las masas pulmonares suelen ser lesiones congénitas o inflamatorias. Las neoplasias pulmonares son más frecuentemente metastásicas que primarias.

Las tumoraciones pleurales y de la pared torácica son raras en niños. La mayoría de los bultos asintomáticos en la pared torácica se deben a variantes anatómicas benignas.

Pantalla 25 de 31
< >

No hay comentarios
Esta actividad no admite más comentarios
Compartir