Hacemos uso de cookies. Al utilizar nuestros servicios, consideramos que acepta su uso. Más información.

Catéteres: valoración de su correcta posición

Los catéteres vasculares, centrales o periféricos, así como los tubos endotraqueales, nasogástricos, y drenajes pleurales, se utilizan frecuentemente en el paciente hospitalizado y de forma rutinaria en las unidades de cuidados intensivos.

La radiografía simple permite identificar de posición de los extremos de estos dispositivos, evitando localizaciones inadecuadas y sus complicaciones10.

En los neonatos, es habitual el uso de catéteres umbilicales arteriales y venosos. El extremo del catéter umbilical venoso debe ubicarse en la porción más craneal de la vena cava inferior (VCI), en la unión de la VCI con la aurícula derecha (AD) o porción distal de la AD. El catéter umbilical arterial debe quedar en una de estas dos localizaciones: una posición alta, entre D6 y D10, o una posición más caudal, entre L3 y L5, evitando así la salida de los principales vasos aórticos.

Los catéteres venosos centrales, ya sean de inserción central o periférica, deben quedar con sus extremos también próximos a la unión de la vena cava superior (VCS) con la AD.

El tubo endotraqueal debe ubicarse a 1,5 cm de la carina, con el paciente en posición neutra, ya que esta localización puede estar modificada por el movimiento de flexoextensión de la cabeza.

El extremo de la sonda nasogástrica debe localizarse en la porción proximal del estómago.

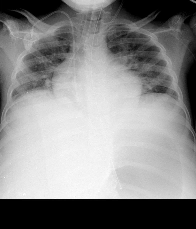
Haga clic en los siguientes enlaces para ver qué tubos y catéteres porta este paciente.

  • Reservorio con catéter (AD)
  • Tubo endotraqueal
  • Sonda nasogástrica
  • Catéter venoso central (VCS)
  • Catéter venoso central de inserción periférica (VCS)
Pantalla 27 de 31
< >

No hay comentarios
Esta actividad no admite más comentarios
Compartir