¿Cuál de estas afirmaciones es correcta en la siguiente radiografía de tórax?
Respuesta correcta.
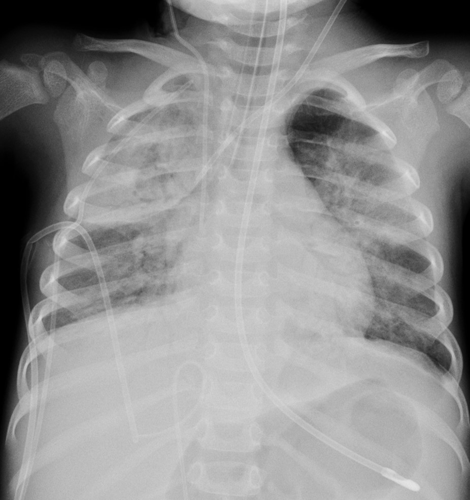
El paciente presenta extensas consolidaciones parenquimatosas pulmonares con broncograma aéreo. El extremo del tubo endotraqueal se localiza excesivamente bajo, quedando dirigido hacia el bronquio principal izquierdo. Existe un catéter venoso femoral (solo visualizamos la porción distal) que queda mal posicionado haciendo un bucle en la VCI.
No es correcta. El paciente tiene consolidaciones pulmonares bilaterales, con el tubo endotraqueal y un catéter venoso femoral mal posicionados.
No es correcta. El paciente no presenta signos de pérdida de volumen que sugieran atelectasias.
No es correcta. La imagen de la radiografía de tórax está bien centrada, colimada, penetrada e inspirada, y no está movida. Técnicamente no presenta alteraciones.
Para pasar a la siguiente pantalla es necesario contestar correctamente a
esta pregunta.
No utilice esta herramienta para enviar consultas sobre el funcionamiento general de la plataforma. Para ello utilice el buzón de contacto que aparece en el menú superior o pulse aquí.
Compartir
Duda comentario corrección de respuesta
MPC - 06.06.2016 17:31
"El extremo del tubo endotraqueal se localiza excesivamente bajo, quedando dirigido hacia el bronquio principal izquierdo", ¿no sería derecho?
Gracias
Estamos corrigiendo su ejercicio, por favor espere.