Hacemos uso de cookies. Al utilizar nuestros servicios, consideramos que acepta su uso. Más información.

Anatomía radiológica normal del tórax pediátrico (1)

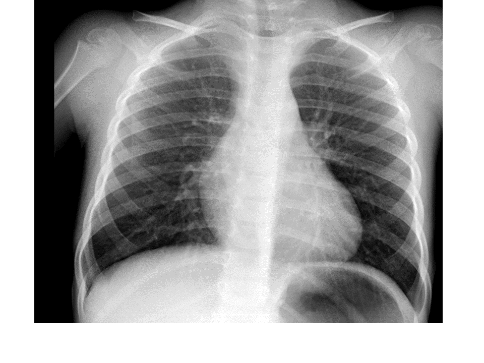
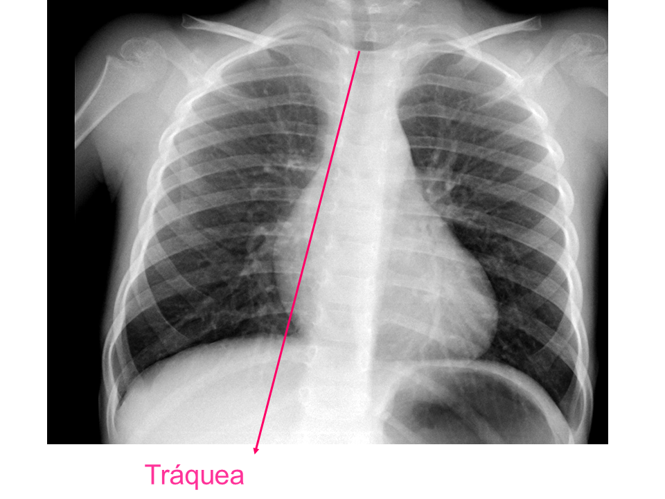
Para una adecuada lectura sistemática de la radiografía de tórax, debemos conocer la anatomía radiológica básica e identificar determinadas estructuras2.

  • Tráquea
  • Vena cava superior
  • Carina
  • Escápula
  • Aurícula derecha
  • Diafragma
  • Bronquio principal izquierdo
  • Cayado aórtico
  • Tronco de la arteria pulmonar
  • Aorta descendente
  • Ventrículo izquierdo
  • Burbuja gástrica

El mediastino está formado por los contornos formados por la silueta cardiaca, la vena cava superior, el cayado aórtico y el tronco de la arteria pulmonar.

Para un estudio más detallado de la anatomía segmentaria broncopulmonar, se puede consultar este enlace.

Pantalla 4 de 31
< >

No hay comentarios
Esta actividad no admite más comentarios
Compartir