Hacemos uso de cookies. Al utilizar nuestros servicios, consideramos que acepta su uso. Más información.

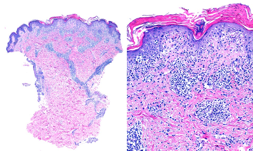
Anatomía patológica de la PLEVA

Presencia de infiltrados inflamatorios linfocitarios perivasculares en la dermis superficial, con exocitosis epidérmica de estos linfocitos y escamas paraqueratósicas con acumulación de células inflamatorias entre las diferentes capas.

Punch cutáneo de biopsia diagnóstica de PLEVA

Pantalla 22 de 29
< >

No hay comentarios
Esta actividad no admite más comentarios
Compartir