Hacemos uso de cookies. Al utilizar nuestros servicios, consideramos que acepta su uso. Más información.

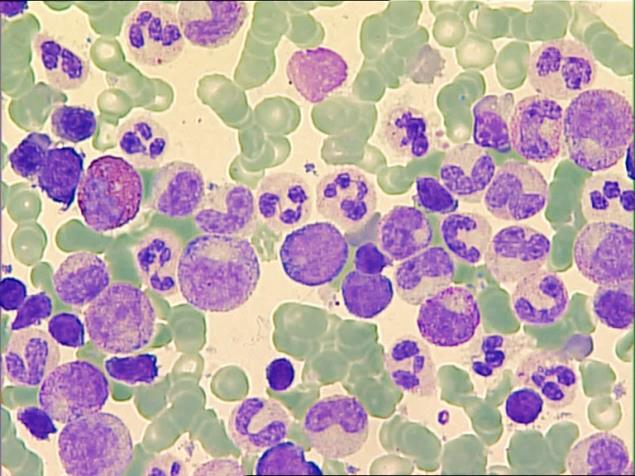
Mielocatexis (2)

La asociación de mielocatexis con verrugas (warts), hipogammaglobulinemia e infecciones recurrentes conforman el síndrome WHIM, que deberemos descartar siempre que nos encontremos ante un diagnóstico nuevo de mielocatexis.

Tras el diagnóstico de la paciente, se realiza estudio de neutropenia en el hermano, en el que se observa una neutropenia crónica grave (cifras de neutrófilos 0,1-0,3 × 103/µl). Se realiza un aspirado de médula ósea, confirmándose la presencia de un patrón celular compatible con mielocatexis. El diagnóstico de mielocatexis en los dos hermanos sugiere que la etiología de la neutropenia de la madre pueda deberse al mismo cuadro siguiendo el patrón de herencia autosómico dominante descrito.

Pantalla 15 de 19
< >

No hay comentarios
Esta actividad no admite más comentarios
Compartir