Hacemos uso de cookies. Al utilizar nuestros servicios, consideramos que acepta su uso. Más información.

Pruebas complementarias (2)

En nuestro paciente:

  • Serologías de virus hepatotropos: virus de la hepatitis A (VHA), VHB y VHC negativos.
  • Toxoplasma, VEB y CMV: IgM negativos, IgG positivos.
  • Perfil lipoproteico (colesterol total, HCL, LDL, triglicéridos) normal.
  • Colinesterasa, CPK, alfa-1-antitripsina, ceruloplasmina y alfafetoproteína normales.
  • Anticuerpos antitransglutaminasa (ATG) IgA 0,20 UA/l negativos.
  • Anticuerpos anticelulares (ANA), anticuerpos anticélulas parietales, anticuerpos anti-LKM y anticuerpos antimitocondria negativos.
  • Anticuerpos anti músculo liso positivos: 1/320.
  • VSG: 36 mm/h (0-15).
  • IgG 2440,00 mg/dl IgA 207 mg/dl IgM  55  mg/dl.
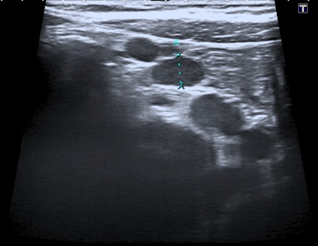
  • Ecografía abdominal.
Pantalla 6 de 20
< >

No hay comentarios
Esta actividad no admite más comentarios
Compartir