Hacemos uso de cookies. Al utilizar nuestros servicios, consideramos que acepta su uso. Más información.

Evolución y diagnóstico final

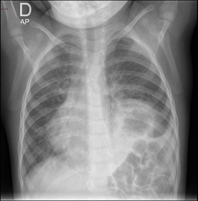
Tras el inicio de la antibioterapia, la paciente mejora rápidamente en menos de 48 horas. Usted, que regresa al hospital tras haber librado la guardia, consulta el informe del radiólogo en el ordenador.

Tras la sorpresa inicial, decide consultar de forma directa al especialista.

Pantalla 10 de 16
< >

No hay comentarios
Esta actividad no admite más comentarios
Compartir